品牌:美国DSC
模体圆柱部分内径:20.8 cm
模体圆柱部分内高:17.5 cm
可填充部分容积:~1.2 L
起订:1个
供应:1000个
发货:3天内
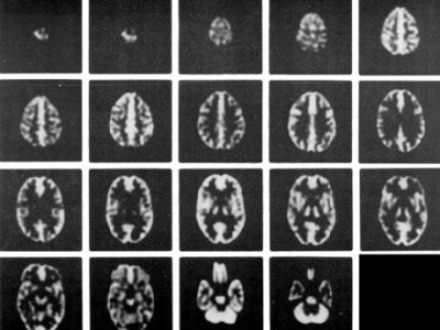
Hoffman 3-D脑模体,霍夫曼脑模体详细介绍:
Hoffman 3-D脑模体,霍夫曼脑模体主要特点:
-在脑部SPECT及脑部PET的研究中,从解刨学角度精确的模拟放射性分布;在MRI研究中,精确模拟质子密度及驰豫参数打的分布
Anatomically accurate simulation of radioactivity distribution for brain SPECT and brain PET studies* and distribution of proton density and relaxation parameters for brain MRI studies
-在血流和代谢研究中模拟正常灰质和白质的4:1摄取率(按部分体积效应模拟)
Simulates 4:1 uptake ratio (by partial volume effect) seen for normal gray and white matter in flow and metabolic studies
-单体填充腔设计,消除了制备不同浓度放射性物质的必要
Single fillable chamber eliminates the necessity of preparing different concentrations of radioactivity
-为基底神经节区域提供了可填充固体缺陷
Fillable and solid defects for basil ganglia region available
Hoffman 3-D脑模体,霍夫曼脑模体主要应用领域:
-可用于脑部ECT研究中对图像获取及重建方法的评估
evaluation of acquisition and reconstruction methods for brain ECT studies
-3-D重建方法评估
evaluation of 3-D reconstruction methods
-3-D衰减及散射补偿方法评估
evaluation of 3-D attenuation and scatter compensation methods
-3-D SPECT, PET及MRI系统配准技术评估
evaluation of 3-D SPECT, PET and MRI registration techniques
-科研应用
Research
Hoffman 3-D脑模体,霍夫曼脑模体规格:
-模体圆柱部分内径:20.8 cm
Cylinder inside diameter: 20.8 cm
-模体圆柱部分内高:17.5 cm
Cylinder inside height: 17.5 cm
-可填充部分容积:~1.2 L
Fillable volume: ~ 1.2 liter
Hoffman 3-D脑模体™相关配件、附件:
【Hoffman 3-D脑部模体固体缺陷模拟物套装(2)】
3D Brain Phantom Solid Defects Set (2)
型号/Model:BR/3D-SOL/SET2
-可对基底神经节区域的冷&热缺陷进行定位
Hot and cold defects can be located in the basil ganglia region
-可帮助使用者确定缺陷的图像形状
Allows user to determine image shape of the defect

