LG-A02成人腿部模体,LG-A02男性腿部模型
LG-A02成人腿部模体 ,LG-A02男性腿部模型,用于 X 射线 CT 和超声波的成人腿部(肌肉)模型,是一种基于人类男性腿部平均解剖结构设计的逼真模型。
它具有所有基本的骨骼和软组织特征,使其成为学习、研究和测试医学成像设备的理想工具。
腿部脚模体模型可用于研究不同方向和定位技术的多种诊断性 X 射线 CT 和超声程序。根据要求,该产品可以根据不同的病理进行定制,也可以用于特定的培训应用。

解剖学:
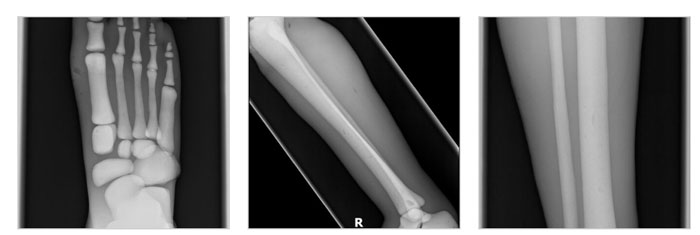
腓骨
胫骨
脚骨
主要肌肉组织
逼真的软体组织
LG-A02成人腿部模体,LG-A02男性腿部模型成像效果:

LG-A02成人腿部模体,LG-A02男性腿部模体模型技术特性:
| 组织类型 | 声速 [m/s] | 密度 [克/厘米³] | 硬度 [邵氏 00] | T2 [毫秒] | 豪恩斯菲尔德价值 | 测量衰减 在 2.25 MHz 时 [dB/cm] |
| 皮质骨 | 3000 ± 30 | 2.31 | 不适用 | 不适用 | 1300 | 6.4 ± 0.3 |
| 小梁骨 | 2800 ± 50 | 2.03 | 不适用 | 不适用 | 1300 | 21 ± 2 |
| 软组织 | 1400 ± 10 | 1.02 | 60 | 50 毫秒 | 25 | 1.7 ± 0.2 |
| 肌肉组织 | 1400 ± 10 | 1.01 | 35 | 60 | 不适用 | 1.3 ± 0.2 |
| 仿骨材料的热性能 | |||||
| 导热 | 体积比热容 | 热扩散率 | 热阻率 | 比热 | 声速 |
| 0.776瓦/米K | 1.040 兆焦耳/ 米^3 K | 0.746 毫米^2/ 秒 | 1.289 米 千/瓦 | 0.978 J/g 摄氏度 | 3070米/秒 |
| 组织模拟材料的胡值 | ||
| S.No。 | 组织类型 | HU(平均值) |
| 1 | 小梁骨 | 800 |
| 2 | 皮质骨 | 1300 |
尺寸和重量:
模体:
尺寸:38 x 10 x 7 英寸,重量:26.5 磅(约)。
包装:
尺寸:36 x 24 x 12 英寸,重量:35 磅(大约)
LG-A02成人腿部模体, LG-A02男性腿部模型实物图:


SAG:LG-A02,LG-A02成人腿部模体,LG-A02腿部模体,LG-A02小腿模体,LG-A02脚模型


[VIP第4年] 指数:1



